石田内科・循環器科には、『CT-SCAN』を設置しています
簡単にみなさまのお体の詳細データを計測・分析を行い、みなさまの生活習慣病の予防や健康の維持のために活用しています
簡単にみなさまのお体の詳細データを計測・分析を行い、みなさまの生活習慣病の予防や健康の維持のために活用しています
![]() |
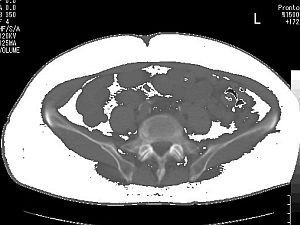
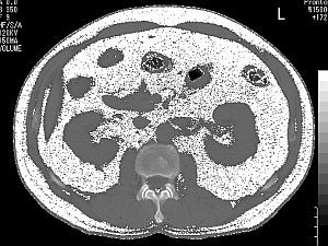
- 当院のCTで、皮下脂肪型肥満、内臓脂肪型肥満の診断ができます
下図はその実例です
![]() |
![]() | |
| 皮下脂肪型肥満 | 内臓脂肪型肥満 |
- 内臓脂肪(白い部分)の面積100平方cm以上が、
メタボリックシンドロームの診断基準です

















